정말 효과본 집에서 하는 치아미백 방법
안녕하세요! 요즘 저의 가장 큰 관심사는 바로 '치아미백'인데요. 제가 커피를 정말 종일 달고 살다 보니 치아에 착색되는 것을 피할 수 없더라고요. 크게 관심이 없었다 얼마전 사진을 찍고 너무 충격받아서 치아미백에 효과가 좋은 것들을 찾아보던 중, 정말 효과본 방법이 있어서 공유합니다.

치아미백제 사용, 너무 불편해!
치아미백을 위해서 처음에 효과좋다는 치아미백제들을 구매해서 사용해보았습니다. 그런데 너무 불편하더라고요. 미백제를 치아에 도포한 후 30분 정도 있어야 하는데, 입을 벌리고 있어야 하니 침도 너무 많이 나오고 말도 할 수가 없어서 너무 불편했습니다. 효과는 좋은 것 같았지만 이걸 일주일에 몇 번 씩 하려니 꽤나 귀찮더라고요.



물론 효과는 확실히 있었습니다. 임상 실험 결과로도 치아미백 효과가 있다고 검증 받은 제품들이니 당연히 치아미백 효과가 있었지만 치아미백을 위해 꾸준히 사용하기에는 조금 불편하게 느껴졌습니다.
치아미백을 위한 미백치약, 효과는?
치아미백을 위한 미백치약들이 시중에 많이 나와있는데요. 저도 미백에 효과가 있다는 치아미백 치약을 많이 구매해서 사용해보았습니다. 그런데 잘 모르겠더라고요. 아마도 제가 산 제품들이 그닥 효과가 좋지 않은 미백 치약이었을지도 모르겠습니다.



가장 효과보고 가장 저렴한, 베이킹소다 활용!
그러던 중, 베이킹소다가 치아미백에 효과가 있다고 해서 베이킹소다를 활용한 치아미백에 도전하게 되었습니다.
여러가지 방법이 있지만 전 귀찮은 건 너무 싫어하기 때문에 양치할때 치약위에 베이킹소다를 조금 톡톡 뿌려서 양치하기 시작했습니다. 베이킹소다가 치아 표면을 상하게 할 수도 있어서 주 1~2회를 권장한다고 하는데, 그건 베이킹소다만 사용할 때의 주의사항이고 저는 사용량이 적어 매일 아침 저녁에는 베이킹소다를 섞어 양치를 했습니다.
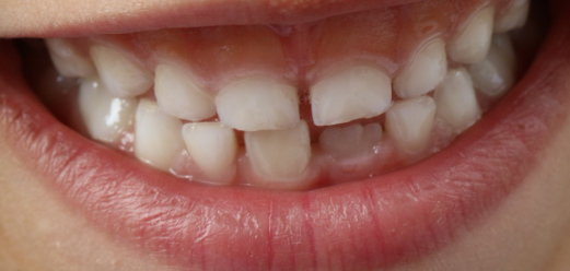
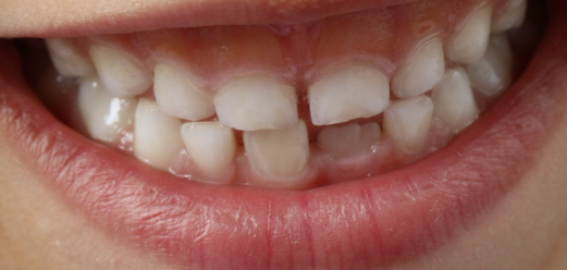
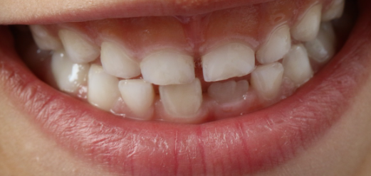
한 일주일 정도 해보니 치아가 정말 밝아졌더라고요. 치아색상표가 있는데 여기서 제가 처음에 B3정도의 단계였다면 일주일 정도 지난 지금 A3정도의 치아색을 가지게 된 것 같습니다.

보통의 성인 남녀가 A2의 치아를 가지고 있다고 하니, 좀 더 사용해보아야겠지만 일주일만에 눈으로 봐도 효과가 보여서 만족하고 있습니다.



심지어 베이킹소다는 집에 항상 있는 제품이라 따로 비용이 많이 들지도 않아서 가성비 넘치는 치아미백 방법인 것 같습니다.
베이킹소다를 활용한 양치법
저는 그냥 치약 위에 톡톡 뿌려 사용했지만, 다양한 베이킹소다 양치법이 있어 살짝 공유합니다.
1. 베이킹소다+물을 섞어 반죽한 후 양치
2. 베이킹소다+레몬즙을 섞어 반죽한 후 양치
1번의 경우 주 1~2회 권장, 2번은 주 1회를 권장한다고 합니다. 치아 표면이 손상될 수도 있다고 해요.
여러분들도 치아미백을 원하시면 바로 병원부터 가지 마시고 집에서 홈케어로 먼저 도전해보시길 바랍니다. ^^
'건강' 카테고리의 다른 글
| 성인 ADHD 자가진단법 및 증상 (1) | 2024.11.16 |
|---|---|
| 남자 갱년기 증상, 시기 및 완화방법 (1) | 2024.11.07 |
| 수능 도시락 준비하기, 절대 싸지 말아야 할 음식 (0) | 2024.10.24 |
| 체질별 맞는 음식 종류, 피해야 할 음식 (0) | 2024.10.24 |
| 나는 무슨 체질일까? 체질 알아보기 (0) | 2024.10.24 |
댓글